دانلود پاورپوینت پوسیدگی دندان: تعریف، عوامل موثر و علائم
| عنوان |
تعریف، عوامل موثر و علائم پوسیدگی دندان |
| سال تهیه : 1405 | تعداد اسلاید : 21 |
| فرمت فایل : pptx-ppt | نوع فایل : پاورپوینت |
| کیفیت : طلایی | مناسب : دانشجویان |
پوسیدگی دندان یکی از شایعترین مشکلات دهان و دندان است که میتواند در هر سنی رخ دهد.
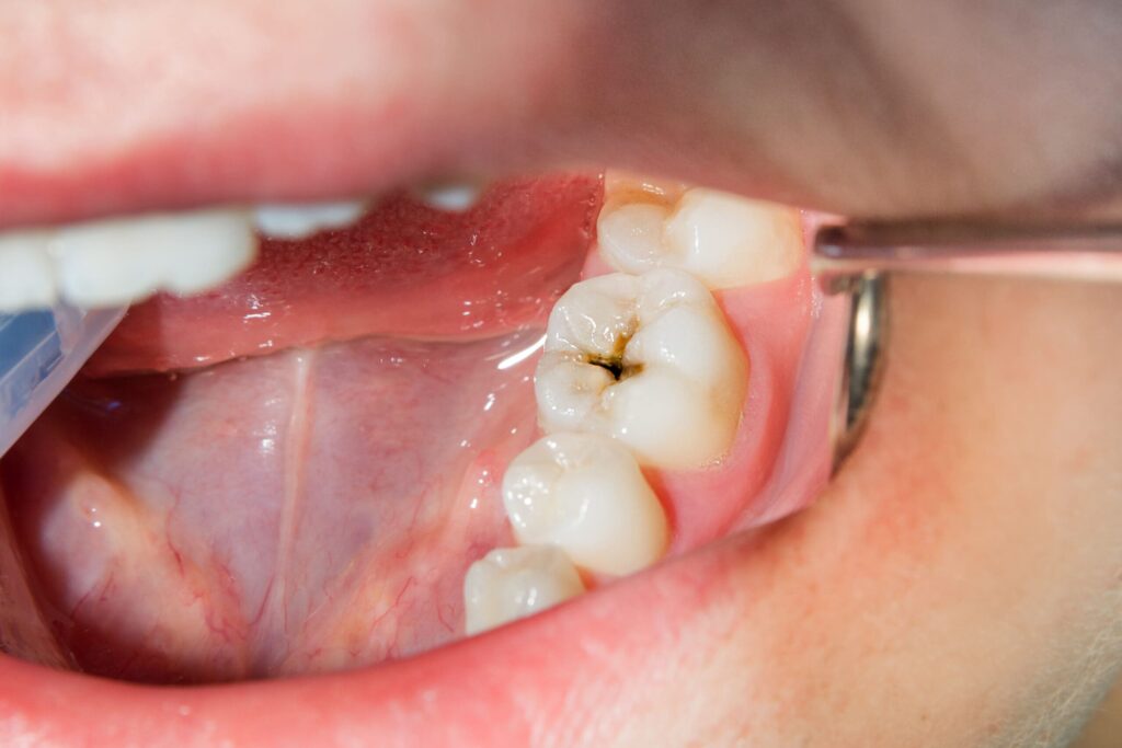
تعریف پوسیدگی دندان:
فرآیندی است که در آن، بافت سخت دندان (مینا و عاج) به دلیل فعالیت باکتریهای موجود در پلاک دندانی، تخریب میشود. این باکتریها با مصرف قندهای موجود در غذا، اسید تولید میکنند که به تدریج باعث حل شدن مواد معدنی دندان و ایجاد حفره میشود.
عوامل موثر در پوسیدگی دندان:
عوامل مختلفی میتوانند در ایجاد آن نقش داشته باشند، از جمله:
- بهداشت نامناسب دهان و دندان: عدم مسواک زدن و نخ دندان کشیدن منظم، باعث تجمع پلاک دندانی و افزایش خطر پوسیدگی میشود.
- مصرف زیاد قند و نشاسته: باکتریهای موجود در دهان از قندها و نشاستهها تغذیه میکنند و اسید تولید میکنند.
- خشکی دهان: بزاق دهان نقش مهمی در شستشوی ذرات غذا و خنثی کردن اسیدها دارد. کاهش تولید بزاق، خطر پوسیدگی را افزایش میدهد.
- عوامل ژنتیکی: برخی افراد به طور ژنتیکی مستعد پوسیدگی دندان هستند.
- مصرف دخانیات: مصرف دخانیات باعث کاهش جریان خون در لثهها و افزایش خطر پوسیدگی میشود.
- برخی داروها: برخی داروها میتوانند باعث خشکی دهان و افزایش خطر پوسیدگی شوند.
علائم پوسیدگی دندان:
علائم آن بسته به شدت آن میتواند متفاوت باشد. در مراحل اولیه، ممکن است هیچ علامتی وجود نداشته باشد. با پیشرفت پوسیدگی، علائم زیر ممکن است ظاهر شوند:
- درد دندان، به خصوص هنگام خوردن غذاهای شیرین، گرم یا سرد
- حساسیت دندان
- حفرههای قابل مشاهده در دندان
- تغییر رنگ دندان (لکههای سفید، قهوهای یا سیاه)
- بوی بد دهان
پیشگیری از پوسیدگی دندان:
با رعایت نکات زیر میتوان از پوسیدگی دندان پیشگیری کرد:
- مسواک زدن دندانها حداقل دو بار در روز با خمیر دندان حاوی فلوراید
- نخ دندان کشیدن روزانه
- مراجعه منظم به دندانپزشک برای معاینه و جرمگیری
- کاهش مصرف قند و نشاسته
- استفاده از دهانشویه حاوی فلوراید
- افزایش مصرف آب
در صورت مشاهده هر یک از علائم، به دندانپزشک مراجعه کنید. درمان زودهنگام میتواند از پیشرفت پوسیدگی و عوارض جدیتر جلوگیری کند.
فهرست مطالب:
تعریف پوسیدگی
چرخه عوامل موثر در ایجاد پوسیدگی
عوامل پوسیدگی
محلهای شایع پوسیدگی
علایم
خصوصیات لثه سالم
علت بیماری لثه
و . . .


دیدگاهها
هیچ دیدگاهی برای این محصول نوشته نشده است.